Kaiyun(开云中国·电竞官方网站)电竞科技有限公司

您好!欢迎访问开云电竞科技有限公司官方网站!

营业时间
MON-SAT 9:00-18:00

全国服务热线
400-0817-830

公司门店地址
安徽省合肥市庐阳区临泉路4888号朗峰大厦1幢1-728

新闻资讯

99岁奶奶陷“心脑危机” 神经外科多维度救治转安

来源:网络日期:2025-09-17 浏览:

  心率150 次/分的房颤、双肺湿啰音、下肢重度水肿,急性心衰已让99岁的熊奶奶(化名)命悬一线;意识嗜睡、言语不清、肌力下降的神经症状,更让病情雪上加霜。面对这一“心衰+神经损伤”的双重危情,武汉市汉口医院神经外科团队突破高龄救治难题,助老人转危为安。99岁高龄双重危情 心衰叠加神经异常命悬一线岁的熊奶奶因“突发心慌胸闷、言语模糊1天”被紧急送往武汉市汉口医院,入院时,熊奶奶病情凶险:心率飙升至150次/分(房颤),血压150/80mmHg,双肺出现湿啰音,双下肢重度水肿,被确诊为急性心力衰竭。更令人揪心的是,还伴随意识嗜睡、精神萎靡、言语不清、四肢肌力下降(4级)等神经功能异常症状,陷入“心衰+神经损伤”的双重危局。武汉市汉口医院神经外科团队接诊后指出,熊奶奶作为超高龄患者,大脑对缺血缺氧耐受性极低,心衰导致的全脑低灌注是神经症状的重要诱因,且高龄与快速房颤使其面临极高的脑卒中、心源性脑栓塞风险。若仅聚焦心衰治疗,忽视神经功能障碍,可能引发不可逆脑损伤,救治需兼顾心肺稳定与神经保护,难度极大。

99岁奶奶陷“心脑危机” 神经外科多维度救治转安(图1)

99岁奶奶陷“心脑危机” 神经外科多维度救治转安(图2)

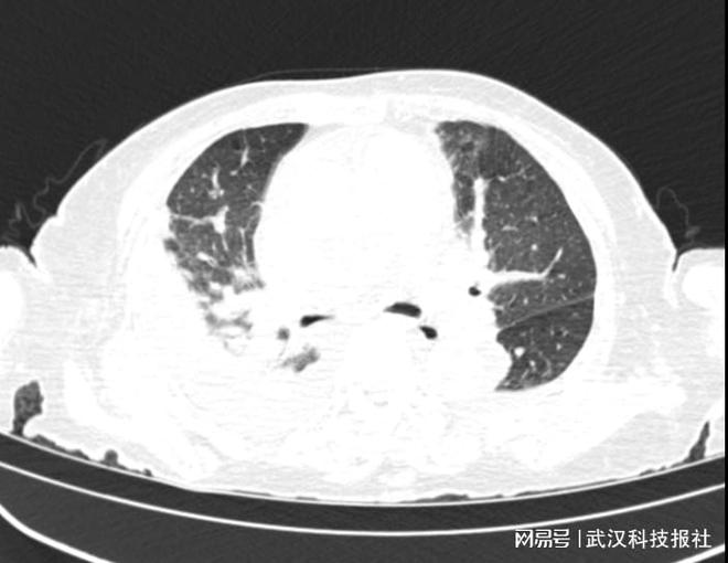
  面对复杂病情,武汉市汉口医院神经外科团队果断扛起救治重任,制定以“神经保护为核心”的综合救治方案。在诊断环节,团队迅速为熊奶奶完成神经系统全面查体,优先安排头部CT/CTA等影像学检查,精准鉴别其神经症状。

  监测层面,团队在常规生命体征监测基础上,引入无创脑氧饱和度监测、床旁脑电图等先进技术,实时掌握脑组织氧合状态与脑电活动,结合高频次神经功能评估,动态追踪病情变化。治疗中,团队巧妙平衡心衰治疗与脑灌注需求,制定个体化血压安全区间(收缩压120—140mmHg),精细调整降压药物剂量,既避免血压过高加重心脏负荷,又严防过低导致脑缺血;同时启动神经保护药物治疗,评估栓塞风险后启动抗凝预防策略,全方位降低神经损伤风险。此外,团队还从神经安全角度筛选药物、预防并发症,并早期介入床边神经康复刺激。

99岁奶奶陷“心脑危机” 神经外科多维度救治转安(图3)

  经过武汉市汉口医院神经外科团队的精准救治,熊奶奶的病情逐步好转:意识状态逐渐清晰,言语清晰度显著提升,四肢肌力稳步恢复,心肺功能也随之趋于稳定,康复后精神状态良好,顺利达到出院标开云电竞科技有限公司准。

  神经外科主任文明表示:“年龄与复杂基础病不是放弃治疗的理由”,科室将持续以专业技术为依托,为高龄神经危重症患者提供精准救治,守护患者的“神经中枢”与生命尊严。来源:武汉市汉口医院

新闻资讯 丨NEWS

联系方式丨CONTACT

  • 全国热线:400-0817-830
  • 传真热线:0550-2307055
  • 业务咨询:400-0817-830
  • 企业邮箱:2487677915@qq.com
首页
电话
短信
联系